Ortodoncia invisible
3.090,00 €
La ortodoncia invisible es el tratamiento estético más demandado en la actualidad para alinear tus dientes y conseguir una bonita y armónica sonrisa.
Es la mejor alternativa a la ortodoncia de brackets a veces tan poco estética.
Primera visita
En una primera visita, sin compromiso, te reconocemos, te escaneamos la boca, te explicamos en qué consiste el tratamiento y podemos hacerte una simulación de cómo quedará tus boca tras la ortodoncia.

Estudio de ortodoncia
En el “estudio de ortodoncia” te realizaremos fotos profesionales y diferentes radiografías para ver tus estructuras óseas, y cogeremos modelos de tu boca para un mejor diagnóstico.
Tratamiento de ortodoncia
Los alineadores, fabricados a medida, los llevarás todo el día y sólo tendrás que quitártelos para comer o beber bebidas calientes u otras que no sea agua. El número de alineadores dependerá de la complejidad del tratamiento, así como su precio.
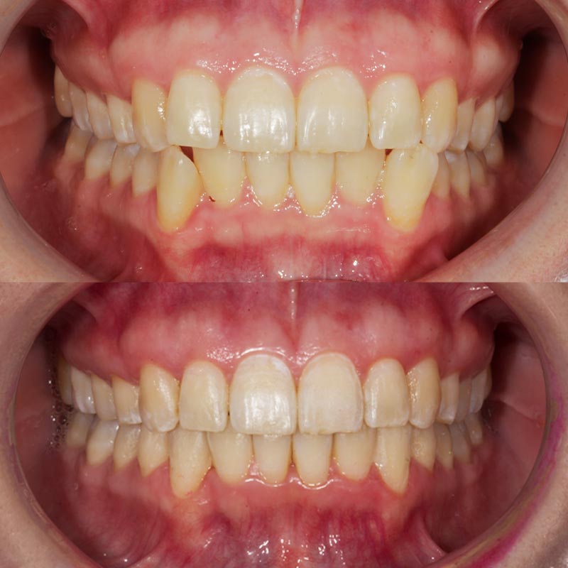
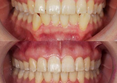
Ortodoncia invisible, el tratamiento estético más demandado
Es la ortodoncia a la que más se recurre hoy en día debido a su facilidad de adaptación y facilidad de higiene, además ¡provoca cero urgencias! Consiste en alineadores transparentes y removibles que se van modificando de manera gradual hasta conseguir una mejora estética como funcional de la sonrisa.
Nuestros compañeros te asesorarán para poder pagarlo de forma cómoda para ti. ¡Estás en las mejores manos!
Faq sobre ortodoncia invisible
¿Qué es la ortodoncia invisible?
La ortodoncia invisible es un tratamiento que tiene como principal finalidad conseguir una alineación correcta de los dientes, para impedir posteriores problemas, con una correcta función masticatoria y una estética
A través de alineadores transparentes removibles y fabricados a medida, se corrige con una precisión milimétrica la posición de los dientes.
¿Quién puede usar ortodoncia invisible?
Generalmente se comienza una vez finalizado el recambio dentario (a partir de los 12 o 13 años) y no tiene límites de edad.
¿Es la mejor opción posible la ortodoncia invisible?
En los tratamientos de ortodoncia es el especialista el que, después de examinar la salud bucodental del paciente con los últimos medios tecnológicos disponibles, recomendará uno u otro sistema para alinear perfectamente los dientes del paciente.
¿Cuánto cuesta un tratamiento de ortodoncia?
Depende del tipo de ortodoncia. Los precios van desde los 2.700 € hasta los 3.990 €.
¿Cuánto dura el tratamiento?
El tiempo estimado de tratamiento varía con la dificultad del problema a tratar, la cooperación del paciente y las respuestas fisiológicas de cada paciente al tratamiento.
El tiempo estimado suele ser de 24 meses.
¿Cuándo se utiliza la ortodoncia invisible?
La ortodoncia invisible puede utilizarse en los mismos casos que la ortodoncia convencional.
¿Cuáles son las ventajas y desventajas de usar ortodoncia invisible?
La principal ventaja de la ortodoncia invisible frente a métodos tradicionales es estética, ya que apenas se notan y permiten llevar una vida totalmente normal. En cuanto a sus desventajas, es habitual que la ortodoncia invisible necesite un poco más de tiempo que la ortodoncia convencional para lograr los resultados, así como con un coste algo superior.


